Alveolar Ridge Preservation Using a d-PTFE Membrane
About Course
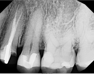
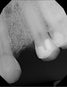
This video demonstrates alveolar ridge preservation following atraumatic surgical extraction of an endodontically treated tooth. Emphasis is placed on minimizing surgical trauma to preserve existing hard and soft tissues.
The case features flap management in the presence of a buccal dehiscence, followed by bone graft placement and stabilization using a dense polytetrafluoroethylene (d-PTFE) membrane. Surgical principles, membrane selection, and handling techniques are discussed to optimize ridge dimensions and facilitate future implant placement.
What you will gain:
- Techniques for atraumatic extraction of endodontically treated teeth
- Flap design considerations in sites with buccal dehiscence
- Indications and advantages of d-PTFE membranes in ridge preservation
- Bone graft placement and membrane stabilization protocols
- Strategies to maintain ridge volume for future implant therapy

Course Content
Alveolar Ridge Preservation Using a d-PTFE Membrane
-
Alveolar Ridge Preservation Using a d-PTFE Membrane
10:46
Student Ratings & Reviews
No Review Yet