Esthetic Crown Lengthening: Freehand Surgical Technique
About Course
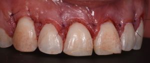
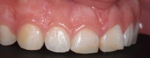
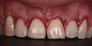
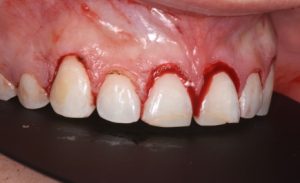
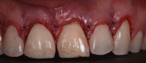
This video demonstrates esthetic crown lengthening performed using a freehand surgical approach. The case focuses on surgical planning and biologic principles rather than guided techniques, emphasizing clinical judgment and precision.
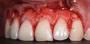
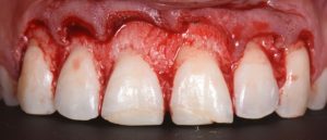
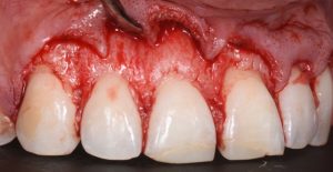
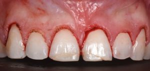
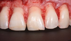
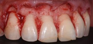
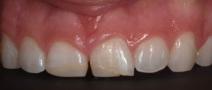
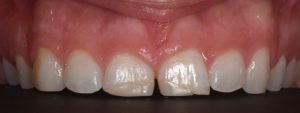
Step by step, the procedure illustrates flap design, osseous recontouring, and suturing techniques required to establish proper tooth proportions while respecting biologic width and soft tissue harmony. Surgical decision-making and execution are highlighted to achieve predictable esthetic outcomes.
What you will gain:
- Indications and treatment planning for esthetic crown lengthening
- Freehand flap design and execution in the esthetic zone
- Principles of bone recontouring for optimal gingival architecture
- Management of biologic width during crown lengthening
- Suturing techniques to support stable soft tissue healing

Course Content
Esthetic Crown Lengthening: Freehand Surgical Technique
-
Esthetic Crown Lengthening: Freehand Surgical Technique
19:43
Student Ratings & Reviews
No Review Yet