Fully Guided Immediate Implant Placement with Immediate Provisionalization – Premolar Site
About Course
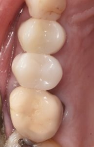
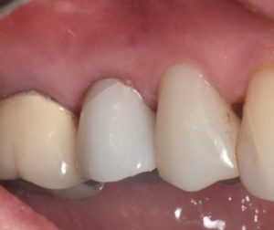
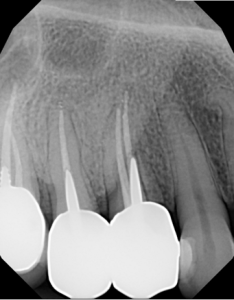
This video demonstrates a fully guided immediate implant placement protocol following premolar extraction, combined with immediate provisional restoration. The case highlights a digitally driven workflow designed to enhance accuracy, efficiency, and prosthetically guided implant positioning.
Step-by-step, the procedure covers atraumatic tooth extraction, guided implant placement using a surgical guide, and chairside fabrication and delivery of an immediate provisional restoration. Clinical considerations for achieving primary stability, soft tissue preservation, and optimal emergence profile are emphasized to support predictable esthetic and functional outcomes.
What you will gain:
- Indications for immediate implant placement in premolar sites
- Digital planning and fully guided surgical execution
- Techniques for atraumatic extraction and implant site preparation
- Principles of immediate provisionalization and emergence profile development
- Key factors for achieving primary stability and soft tissue preservation

Course Content
Fully Guided Immediate Implant Placement with Immediate Provisionalization – Premolar Site
-
Fully Guided Immediate Implant Placement with Immediate Provisionalization – Premolar Site
07:40
Student Ratings & Reviews
No Review Yet