Hard and Soft Tissue Management of an Advanced Extraction Socket (Elian Class III)
About Course
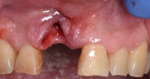
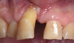
This video presents a comprehensive approach to managing severe hard and soft tissue deficiencies at the time of extraction of a hopeless tooth. The procedure is demonstrated step by step, including flap design and management, bone graft placement, membrane stabilization, and soft tissue augmentation using a vascularized interpositional periosteal connective tissue graft (VIP-CTG). Emphasis is placed on biologic principles and surgical techniques aimed at optimizing ridge preservation outcomes in advanced extraction sockets.
What you will gain:
- How to maintain ridge contours in advanced sockets
- When and why to combine VIP-CTG with bone grafting
- Key flap design principles to avoid soft tissue collapse

Course Content
Hard and Soft Tissue Management of an Advanced Extraction Socket (Elian Class III)
-
Hard and Soft Tissue Management of an Advanced Extraction Socket (Elian Class III)
18:57
Student Ratings & Reviews
No Review Yet