Implant Placement with Simultaneous Guided Bone Regeneration in the Esthetic Zone
About Course
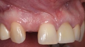
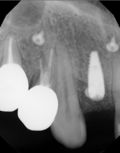
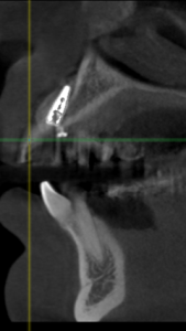
This video demonstrates implant placement in the esthetic zone combined with simultaneous guided bone regeneration (GBR). The case focuses on surgical decision-making, specifically how to determine when a staged approach is indicated versus when simultaneous implant placement and GBR can be predictably performed.
The procedure is presented step by step, including flap design and management, defect assessment, membrane selection and stabilization, flap advancement, and suturing techniques. Emphasis is placed on achieving tension-free closure and maintaining hard and soft tissue contours critical for esthetic success.
What you will gain:
- Criteria for choosing staged GBR versus simultaneous implant placement
- Flap design principles in esthetic-zone defects
- Membrane stabilization techniques for GBR
- Flap advancement strategies to achieve tension-free closure
- Suturing techniques to protect the regenerative site

Course Content
Implant Placement with Simultaneous Guided Bone Regeneration in the Esthetic Zone
-
Implant Placement with Simultaneous Guided Bone Regeneration in the Esthetic Zone
18:51
Student Ratings & Reviews
No Review Yet