Pontic Site Development – Part 2: Vestibular Incision with Xenogenic Bone Grafting
About Course
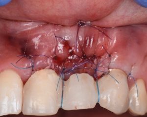
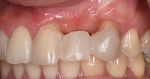
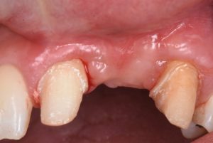
This video presents Part 2 of a staged pontic site development protocol, performed five months after the initial soft tissue augmentation. The objective of this second surgery is to further enhance soft tissue volume and achieve root coverage in preparation for a future fixed partial denture (FPD).
The procedure demonstrates the use of a horizontal vestibular incision with tunneling to mobilize the soft tissues and elevate the papillae. An autogenous connective tissue graft (CTG) harvested from the palate and maxillary tuberosity is utilized to augment tissue thickness. Additionally, a xenogenic bone graft is placed over the crestal area to serve as a space-maintaining scaffold and support vertical tissue stability.
Advanced flap advancement and suturing techniques are highlighted to ensure graft stability and optimal soft tissue outcomes.
What you will gain:
- Indications for a staged approach in pontic site development
- Vestibular incision and tunneling techniques for papilla elevation
- Harvesting and utilization of palatal and tuberosity CTG
- Use of xenograft as a space-maintaining adjunct for vertical support
- Advanced suturing strategies for flap advancement and stabilization

Course Content
Pontic Site Development – Part 2: Vestibular Incision with Xenogenic Bone Grafting
-
Pontic Site Development – Part 2: Vestibular Incision with Xenogenic Bone Grafting
29:43