“Table-Top” Connective Tissue Graft for Pontic Site Development
About Course
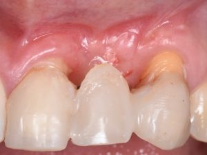
This video demonstrates Part 1 of soft tissue grafting for pontic site development using the Table-Top connective tissue graft technique. The procedure is presented step by step, including flap design and management, connective tissue harvesting, graft positioning, and suturing protocols.
The focus of this case is to achieve increased vertical soft tissue thickness in a deficient pontic site where the patient declined guided bone regeneration (GBR). Surgical decision-making, biologic considerations, and technique selection are emphasized to optimize soft tissue volume and esthetic outcomes in the absence of hard tissue augmentation.
What you will gain:
- Indications for the Table-Top CTG technique in pontic site development
- Flap management strategies to maximize vertical soft tissue gain
- Harvesting and handling of connective tissue grafts
- Suturing techniques to stabilize the graft and enhance volume.

Course Content
“Table-Top” Connective Tissue Graft for Pontic Site Development
-
“Table-Top” Connective Tissue Graft for Pontic Site Development
42:03
Student Ratings & Reviews
No Review Yet